제약·바이오
뷰노, UAE 군 병원에 의료 AI 솔루션 공급
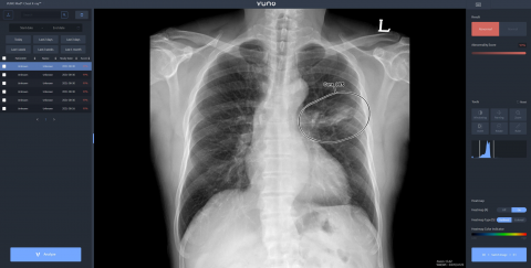
의료 인공지능(AI) 기업 뷰노는 아랍에미리트(UAE) 국군 병원인 자이드 군 병원(Zayed Military Hospital)에 인공지능 기반 엑스레이(X-ray) 판독 보조 솔루션을 공급했다고 22일 밝혔다. 자이드 군 병원에 도입된 솔루션은 이동형 엑스레이 장비에 뷰노의 AI 기반 흉부 엑스레이 판독 보조 솔루션 뷰노메드 체스트 엑스레이™(VUNO Med®-Chest X-ray™)를 탑재한 패키지 제품이다. 별도의 차폐 시설 없이 다양한 상황에서도 쉽게 환자의 흉부 엑스



